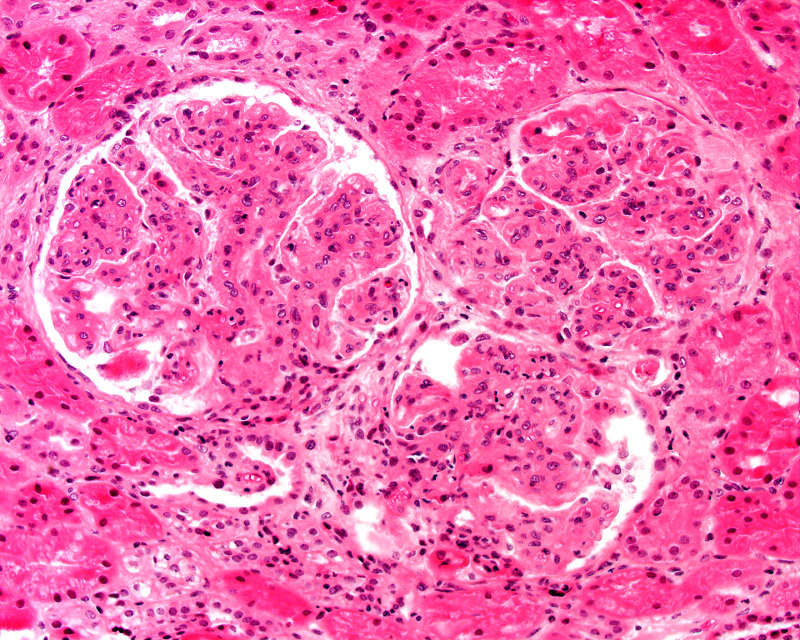
Post Streptococcal Glomerulonephritis Light Microscopy .    — light microscopy.    — poststreptococcal glomerulonephritis (psgn) is an acute glomerular inflammation that follows.    — dysmorphic red blood cells indicative of glomerular hematuria can usually be detected by performing phase. As observed by light microscopy, glomerular changes are generalized and diffuse.    — poststreptococcal glomerulonephritis (psgn) is caused by prior infection with specific nephritogenic.
        
        from www.slideshare.net 
     
        
           — dysmorphic red blood cells indicative of glomerular hematuria can usually be detected by performing phase.    — light microscopy.    — poststreptococcal glomerulonephritis (psgn) is caused by prior infection with specific nephritogenic. As observed by light microscopy, glomerular changes are generalized and diffuse.    — poststreptococcal glomerulonephritis (psgn) is an acute glomerular inflammation that follows.
    
    	
            
	
		 
         
    Pathology of Glomerulonephritis 
    Post Streptococcal Glomerulonephritis Light Microscopy     — poststreptococcal glomerulonephritis (psgn) is caused by prior infection with specific nephritogenic.    — light microscopy. As observed by light microscopy, glomerular changes are generalized and diffuse.    — dysmorphic red blood cells indicative of glomerular hematuria can usually be detected by performing phase.    — poststreptococcal glomerulonephritis (psgn) is an acute glomerular inflammation that follows.    — poststreptococcal glomerulonephritis (psgn) is caused by prior infection with specific nephritogenic.
            
	
		 
         
 
    
        From www.alamy.com 
                    Glomerulonephritis. Light micrograph of tissue from a kidney in a case Post Streptococcal Glomerulonephritis Light Microscopy     — poststreptococcal glomerulonephritis (psgn) is caused by prior infection with specific nephritogenic.    — light microscopy.    — dysmorphic red blood cells indicative of glomerular hematuria can usually be detected by performing phase. As observed by light microscopy, glomerular changes are generalized and diffuse.    — poststreptococcal glomerulonephritis (psgn) is an acute glomerular inflammation that follows. Post Streptococcal Glomerulonephritis Light Microscopy.
     
    
        From www.alamy.com 
                    Glomerulonephritis. Light micrograph of tissue from a kidney in a case Post Streptococcal Glomerulonephritis Light Microscopy     — poststreptococcal glomerulonephritis (psgn) is an acute glomerular inflammation that follows.    — dysmorphic red blood cells indicative of glomerular hematuria can usually be detected by performing phase.    — light microscopy. As observed by light microscopy, glomerular changes are generalized and diffuse.    — poststreptococcal glomerulonephritis (psgn) is caused by prior infection with specific nephritogenic. Post Streptococcal Glomerulonephritis Light Microscopy.
     
    
        From www.sciencephoto.com 
                    Segmental glomerulonephritis, light micrograph Stock Image C038 Post Streptococcal Glomerulonephritis Light Microscopy     — poststreptococcal glomerulonephritis (psgn) is an acute glomerular inflammation that follows. As observed by light microscopy, glomerular changes are generalized and diffuse.    — dysmorphic red blood cells indicative of glomerular hematuria can usually be detected by performing phase.    — poststreptococcal glomerulonephritis (psgn) is caused by prior infection with specific nephritogenic.    — light microscopy. Post Streptococcal Glomerulonephritis Light Microscopy.
     
    
        From medical-junction.com 
                    Acute Post Streptococcal Glomerulonephritis Medical Junction Post Streptococcal Glomerulonephritis Light Microscopy     — poststreptococcal glomerulonephritis (psgn) is an acute glomerular inflammation that follows.    — light microscopy.    — dysmorphic red blood cells indicative of glomerular hematuria can usually be detected by performing phase.    — poststreptococcal glomerulonephritis (psgn) is caused by prior infection with specific nephritogenic. As observed by light microscopy, glomerular changes are generalized and diffuse. Post Streptococcal Glomerulonephritis Light Microscopy.
     
    
        From jocmr.org 
                    Cryoglobulinemic Glomerulonephritis as a Presentation of Atypical Post Post Streptococcal Glomerulonephritis Light Microscopy     — dysmorphic red blood cells indicative of glomerular hematuria can usually be detected by performing phase. As observed by light microscopy, glomerular changes are generalized and diffuse.    — light microscopy.    — poststreptococcal glomerulonephritis (psgn) is an acute glomerular inflammation that follows.    — poststreptococcal glomerulonephritis (psgn) is caused by prior infection with specific nephritogenic. Post Streptococcal Glomerulonephritis Light Microscopy.
     
    
        From medical-junction.com 
                    Acute Post Streptococcal Glomerulonephritis Medical Junction Post Streptococcal Glomerulonephritis Light Microscopy     — light microscopy. As observed by light microscopy, glomerular changes are generalized and diffuse.    — poststreptococcal glomerulonephritis (psgn) is an acute glomerular inflammation that follows.    — dysmorphic red blood cells indicative of glomerular hematuria can usually be detected by performing phase.    — poststreptococcal glomerulonephritis (psgn) is caused by prior infection with specific nephritogenic. Post Streptococcal Glomerulonephritis Light Microscopy.
     
    
        From www.medicinekeys.com 
                    Poststreptococcal glomerulonephritis (PSGN) Medicine Keys for MRCPs Post Streptococcal Glomerulonephritis Light Microscopy     — dysmorphic red blood cells indicative of glomerular hematuria can usually be detected by performing phase.    — poststreptococcal glomerulonephritis (psgn) is an acute glomerular inflammation that follows.    — light microscopy. As observed by light microscopy, glomerular changes are generalized and diffuse.    — poststreptococcal glomerulonephritis (psgn) is caused by prior infection with specific nephritogenic. Post Streptococcal Glomerulonephritis Light Microscopy.
     
    
        From www.frontiersin.org 
                    Frontiers Case report A pediatric case of MPOANCAassociated Post Streptococcal Glomerulonephritis Light Microscopy     — light microscopy.    — dysmorphic red blood cells indicative of glomerular hematuria can usually be detected by performing phase.    — poststreptococcal glomerulonephritis (psgn) is caused by prior infection with specific nephritogenic. As observed by light microscopy, glomerular changes are generalized and diffuse.    — poststreptococcal glomerulonephritis (psgn) is an acute glomerular inflammation that follows. Post Streptococcal Glomerulonephritis Light Microscopy.
     
    
        From www.medicaltalk.net 
                    Acute post streptococcal glomerulonephritis NEET PG www.MedicalTalk Post Streptococcal Glomerulonephritis Light Microscopy     — poststreptococcal glomerulonephritis (psgn) is an acute glomerular inflammation that follows.    — dysmorphic red blood cells indicative of glomerular hematuria can usually be detected by performing phase.    — light microscopy.    — poststreptococcal glomerulonephritis (psgn) is caused by prior infection with specific nephritogenic. As observed by light microscopy, glomerular changes are generalized and diffuse. Post Streptococcal Glomerulonephritis Light Microscopy.
     
    
        From www.slideshare.net 
                    Acute Poststreptococcal Glomerulonephritis Post Streptococcal Glomerulonephritis Light Microscopy     — light microscopy. As observed by light microscopy, glomerular changes are generalized and diffuse.    — poststreptococcal glomerulonephritis (psgn) is an acute glomerular inflammation that follows.    — poststreptococcal glomerulonephritis (psgn) is caused by prior infection with specific nephritogenic.    — dysmorphic red blood cells indicative of glomerular hematuria can usually be detected by performing phase. Post Streptococcal Glomerulonephritis Light Microscopy.
     
    
        From www.ncbi.nlm.nih.gov 
                    Figure 5. [Electron microscopy in subacute poststreptococcal Post Streptococcal Glomerulonephritis Light Microscopy     — poststreptococcal glomerulonephritis (psgn) is an acute glomerular inflammation that follows.    — dysmorphic red blood cells indicative of glomerular hematuria can usually be detected by performing phase.    — light microscopy. As observed by light microscopy, glomerular changes are generalized and diffuse.    — poststreptococcal glomerulonephritis (psgn) is caused by prior infection with specific nephritogenic. Post Streptococcal Glomerulonephritis Light Microscopy.
     
    
        From www.slideserve.com 
                    PPT Acute Glomerulonephritis PowerPoint Presentation ID3066382 Post Streptococcal Glomerulonephritis Light Microscopy     — light microscopy.    — poststreptococcal glomerulonephritis (psgn) is caused by prior infection with specific nephritogenic.    — dysmorphic red blood cells indicative of glomerular hematuria can usually be detected by performing phase. As observed by light microscopy, glomerular changes are generalized and diffuse.    — poststreptococcal glomerulonephritis (psgn) is an acute glomerular inflammation that follows. Post Streptococcal Glomerulonephritis Light Microscopy.
     
    
        From www.mdpi.com 
                    IJMS Free FullText ClinicoPathogenic Similarities and Differences Post Streptococcal Glomerulonephritis Light Microscopy  As observed by light microscopy, glomerular changes are generalized and diffuse.    — dysmorphic red blood cells indicative of glomerular hematuria can usually be detected by performing phase.    — poststreptococcal glomerulonephritis (psgn) is an acute glomerular inflammation that follows.    — light microscopy.    — poststreptococcal glomerulonephritis (psgn) is caused by prior infection with specific nephritogenic. Post Streptococcal Glomerulonephritis Light Microscopy.
     
    
        From www.ncbi.nlm.nih.gov 
                    Figure 2. [Acute poststreptococcal GN with proliferative Post Streptococcal Glomerulonephritis Light Microscopy     — poststreptococcal glomerulonephritis (psgn) is caused by prior infection with specific nephritogenic.    — poststreptococcal glomerulonephritis (psgn) is an acute glomerular inflammation that follows.    — dysmorphic red blood cells indicative of glomerular hematuria can usually be detected by performing phase.    — light microscopy. As observed by light microscopy, glomerular changes are generalized and diffuse. Post Streptococcal Glomerulonephritis Light Microscopy.
     
    
        From www.slideserve.com 
                    PPT Glomerulonephritis PowerPoint Presentation, free download ID Post Streptococcal Glomerulonephritis Light Microscopy  As observed by light microscopy, glomerular changes are generalized and diffuse.    — dysmorphic red blood cells indicative of glomerular hematuria can usually be detected by performing phase.    — poststreptococcal glomerulonephritis (psgn) is an acute glomerular inflammation that follows.    — light microscopy.    — poststreptococcal glomerulonephritis (psgn) is caused by prior infection with specific nephritogenic. Post Streptococcal Glomerulonephritis Light Microscopy.
     
    
        From www.mouthshut.com 
                    Poststreptococcal glomerulonephritis, a complicate whatissorethroat Post Streptococcal Glomerulonephritis Light Microscopy  As observed by light microscopy, glomerular changes are generalized and diffuse.    — poststreptococcal glomerulonephritis (psgn) is caused by prior infection with specific nephritogenic.    — poststreptococcal glomerulonephritis (psgn) is an acute glomerular inflammation that follows.    — light microscopy.    — dysmorphic red blood cells indicative of glomerular hematuria can usually be detected by performing phase. Post Streptococcal Glomerulonephritis Light Microscopy.
     
    
        From www.alamy.com 
                    Post streptococcal glomerulonephritis Stock Photo Alamy Post Streptococcal Glomerulonephritis Light Microscopy     — poststreptococcal glomerulonephritis (psgn) is caused by prior infection with specific nephritogenic.    — light microscopy.    — dysmorphic red blood cells indicative of glomerular hematuria can usually be detected by performing phase.    — poststreptococcal glomerulonephritis (psgn) is an acute glomerular inflammation that follows. As observed by light microscopy, glomerular changes are generalized and diffuse. Post Streptococcal Glomerulonephritis Light Microscopy.
     
    
        From ilovepathology.com 
                    Acute Post Streptococcal Glomerulonephritis Pathology Made Simple Post Streptococcal Glomerulonephritis Light Microscopy  As observed by light microscopy, glomerular changes are generalized and diffuse.    — poststreptococcal glomerulonephritis (psgn) is caused by prior infection with specific nephritogenic.    — dysmorphic red blood cells indicative of glomerular hematuria can usually be detected by performing phase.    — poststreptococcal glomerulonephritis (psgn) is an acute glomerular inflammation that follows.    — light microscopy. Post Streptococcal Glomerulonephritis Light Microscopy.